Tratamente
Stomatologie Laser
Cabinetul nostru folosește tehnologia laser pentru a oferi soluții eficiente, rapide și confortabile la problemele dentare și gingivale.
Ce este stomatologia laser?
Stomatologia laser este o metodă modernă care folosește fascicule de lumină pentru a trata afecțiuni dentare și gingivale cu precizie și minimizarea durerii și a timpului de recuperare.
Tratamente realizate cu ajutorul stomatologiei laser
De la tratamentul gingiilor la extracții fără bisturiu și albire dentară, laserul aduce eficiență, precizie și recuperare rapidă la fiecare pacient.
Avantajele stomatologiei laser
Stomatologia laser aduce o abordare modernă și inovatoare în medicină dentară, redefinind standardele de confort și eficiență.
01
Minim invaziv și fără durere
Tratamentele cu laser sunt realizate fără a afecta țesuturile sănătoase din jur, iar pacientul nu simte dureri semnificative, ceea ce face experiența la cabinet mult mai confortabilă.
02
Recuperare rapidă
Datorită naturii minim invazive a laserului, țesuturile se vindecă mult mai repede, iar pacientul revine la activitățile zilnice într-un timp scurt.
03
Reducerea riscului de infecție
Laserul are efect de sterilizare asupra zonei tratate, reducând riscul de infecții postoperatorii și asigurând o recuperare mai sigură.
04
Eficiență și precizie ridicată
Laserul permite intervenții extrem de precise, cu afectare minimă a țesutului sănătos, asigurând rezultate optime și tratamente mai eficiente.
Tehnologii și aparatură utilizată
Cabinetul nostru folosește aparatura de ultimă generație în stomatologie laser, inclusiv laserul diodă Biolase EPIC X și laserul Waterlase.
Laserul diodă Biolase EPIC X este un dispozitiv chirurgical și terapeutic, recunoscut pentru precizia și siguranța sa, fiind aprobat FDA pentru chirurgia țesuturilor moi, albirea dentară și biostimulare/terapia durerii. Acesta permite efectuarea unor proceduri variate, de la excizii de țesut moale la decontaminare endodontică și desensibilizare dentară, într-un mod minim invaziv, fără durere și cu recuperare rapidă.
Laserul Waterlase este un sistem avansat care combină energia luminoasă cu un jet de apă, oferind o experiență fără vibrații, fără zgomot și fără durere, potrivit atât pentru tratamente pe țesuturi moi, cât și pentru cele pe țesuturi dure, precum carii sau prepararea canalelor radiculare. Ambele tehnologii asigură tratamente rapide, confortabile și cu rezultate de înaltă calitate, adaptate nevoilor fiecărui pacient.

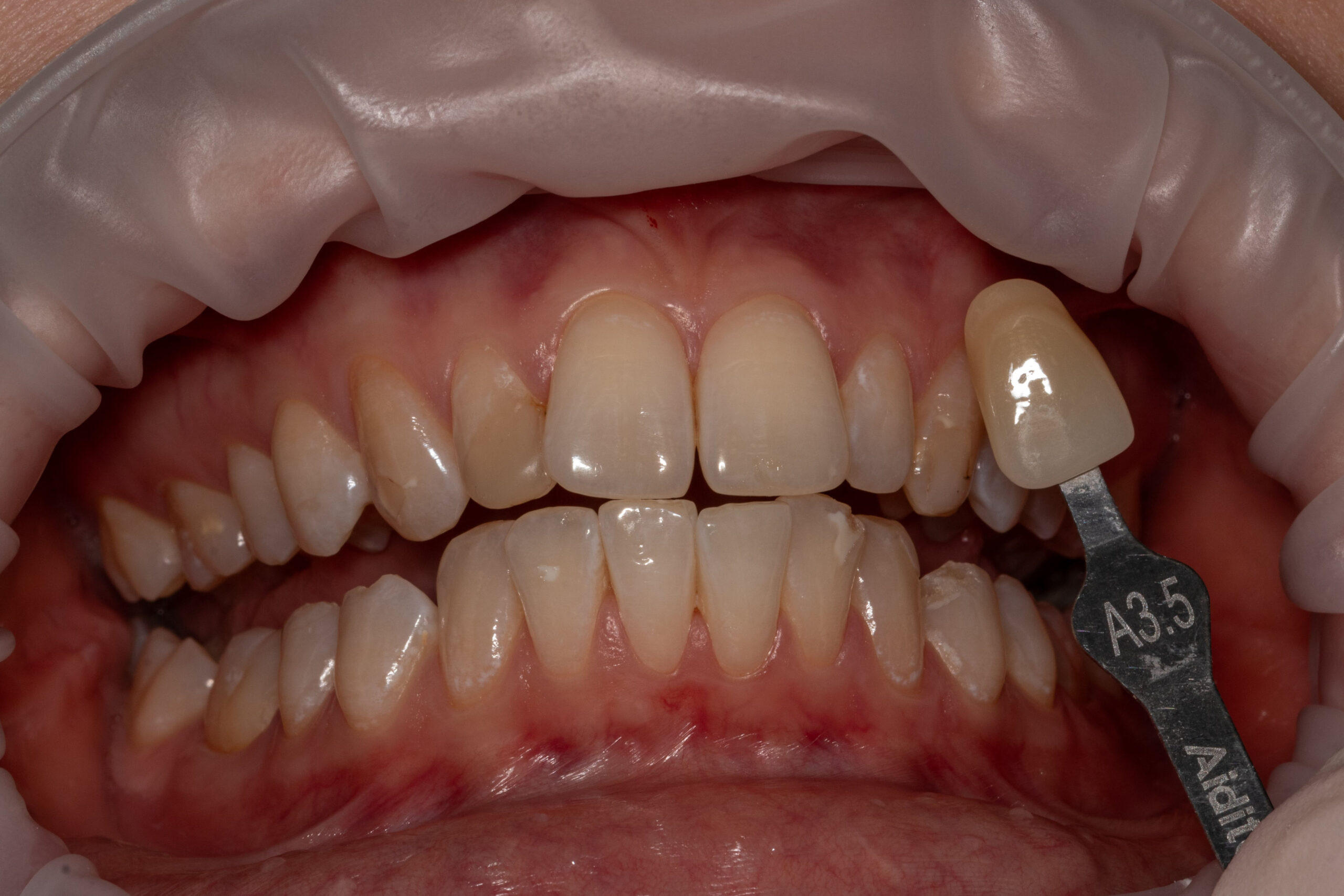
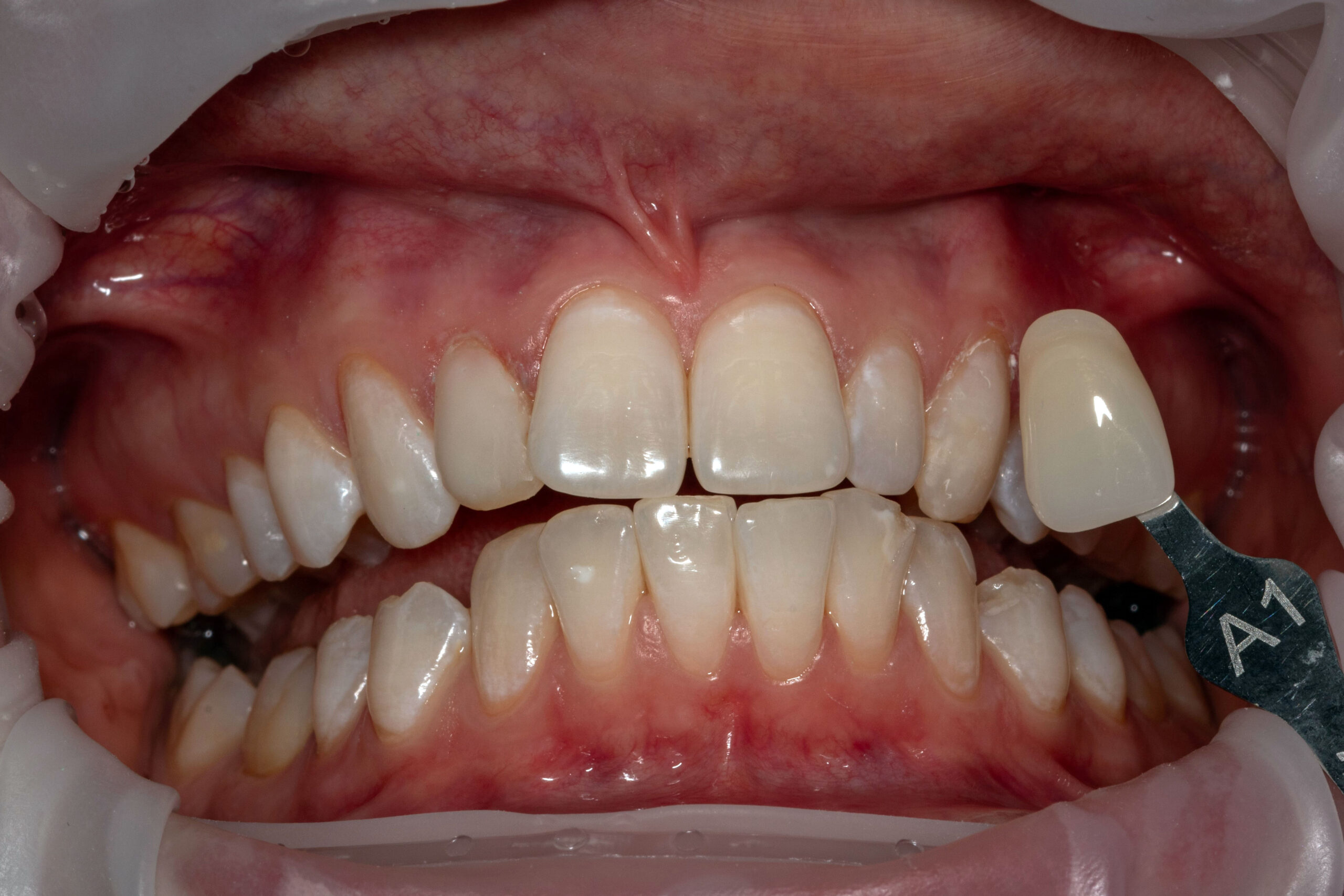
Albire profesională, rezultate imediate
Înainte și după tratamentul profesional de albire cu laser
Albirea dentară activată cu laser este cea mai bună și inovativă metodă pentru albirea dinților. Necesită o singură vizită la cabinet, iar rezultatele sunt vizibile imediat, fără a afecta sănătatea smalțului sau a gingiilor.
Întrebări frecvente
Tot ce trebuie să știi despre serviciile și experiența la cabinetul nostru
Este tratamentul cu laser sigur?
Da, tratamentele cu laser sunt sigure și aprobate pentru utilizare stomatologică, oferind precizie și minimizând riscurile.
Care sunt contraindicațiile tratamentului cu laser?
Tratamentul poate fi contraindicat în cazuri de sarcină, anumite afecțiuni medicale sau sensibilitate la lumină.
Există efecte secundare după tratamentul cu laser?
Efectele secundare sunt rare și ușoare, cum ar fi o ușoară sensibilitate sau roșeață temporară la zona tratată.
Cum se pregătește pacientul pentru un tratament cu laser?
Nu sunt necesare pregătiri speciale; pacientul este informat și consiliat înainte de procedură, iar medicul verifică dacă nu există contraindicații.
Solicită o programare
Completează formularul sau sună-ne pentru a-ți rezerva rapid o programare.